症例カテゴリー|nana矯正歯科clinic|台東区蔵前・浅草の矯正歯科専門医院

〒111-0043東京都台東区駒形2丁目1−11 DAICHI B.L.D KOMAGATA RIVERSIDE 1階
03-5830-7874
矯正相談予約 矯正以外の予約 初めての方へ
ヘッダー画像

おとなの矯正【ワイヤー矯正】

症例カテゴリー|nana矯正歯科clinic|台東区蔵前・浅草の矯正歯科専門医院

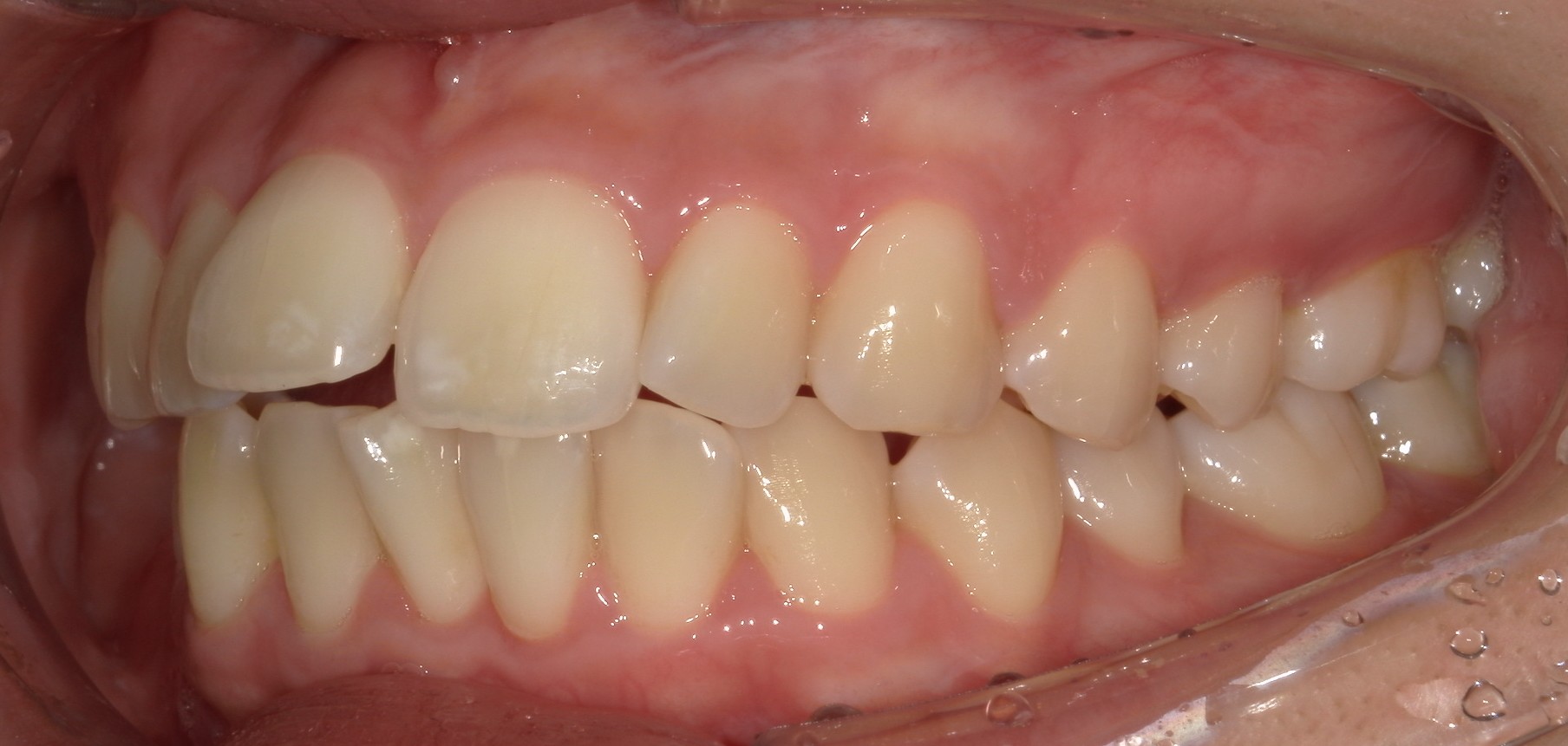
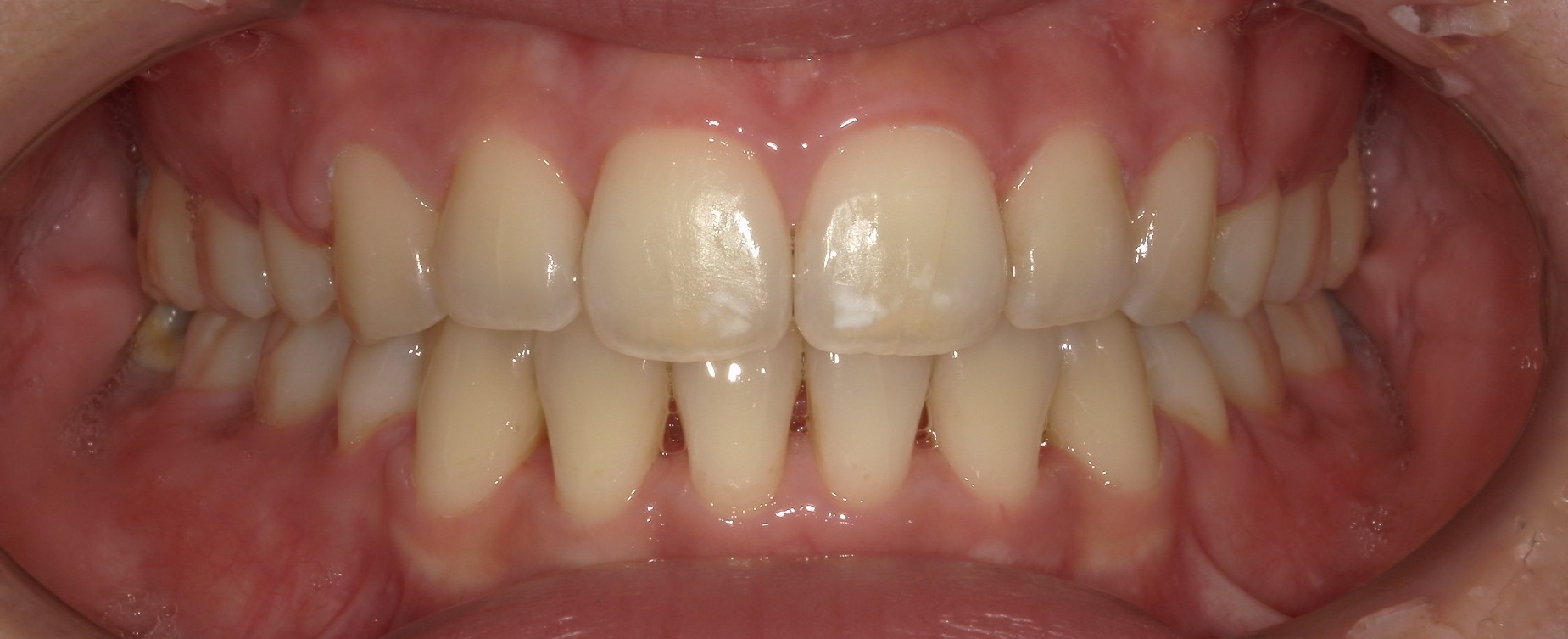
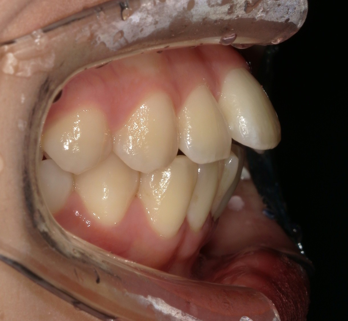
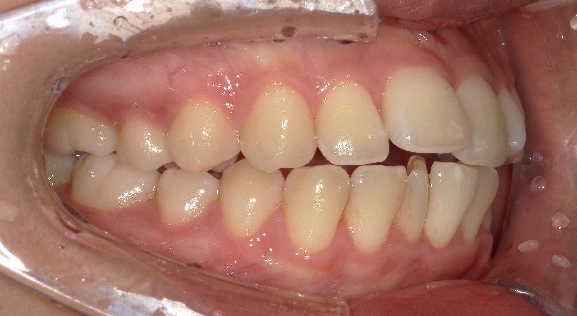
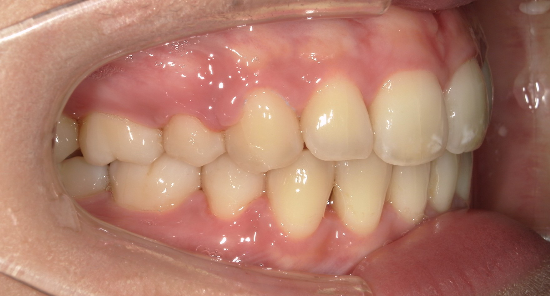
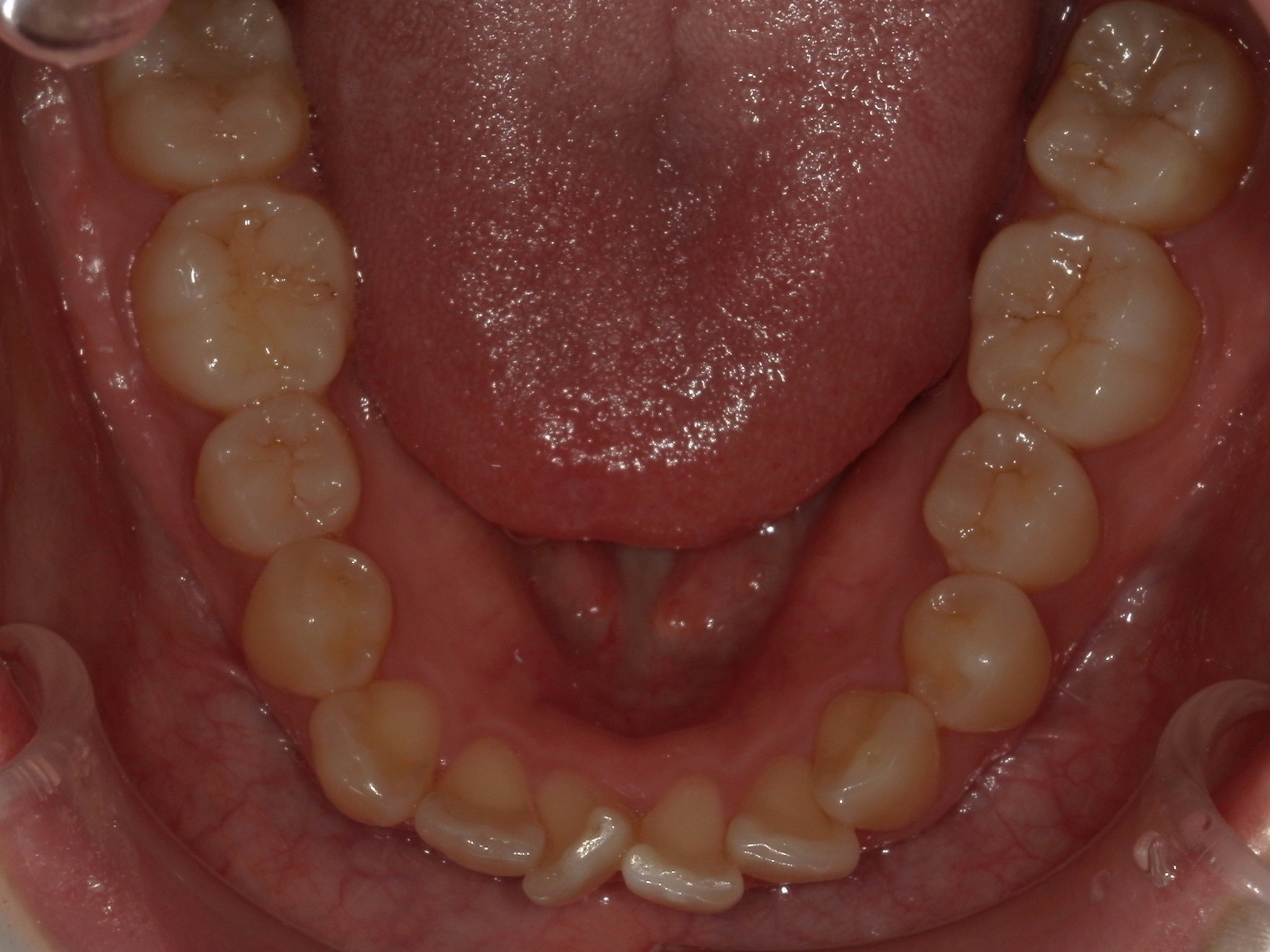
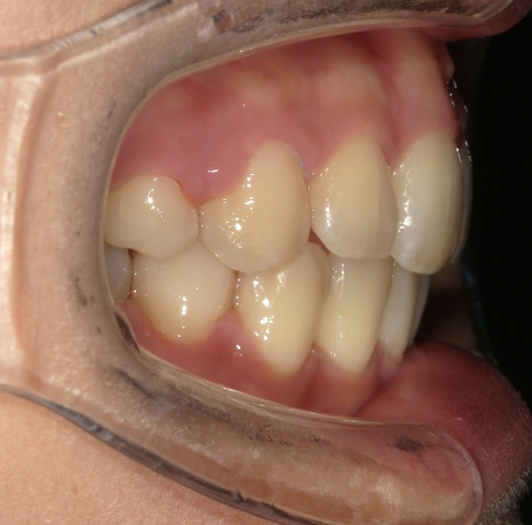
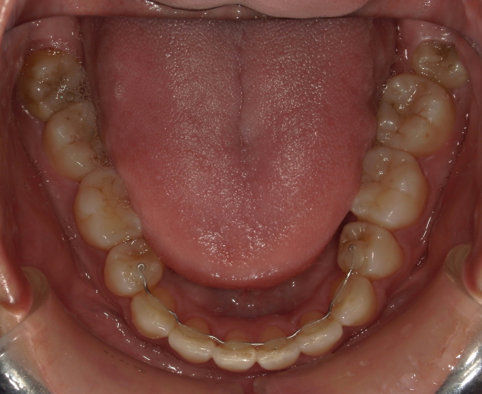
ワイヤー矯正・抜歯

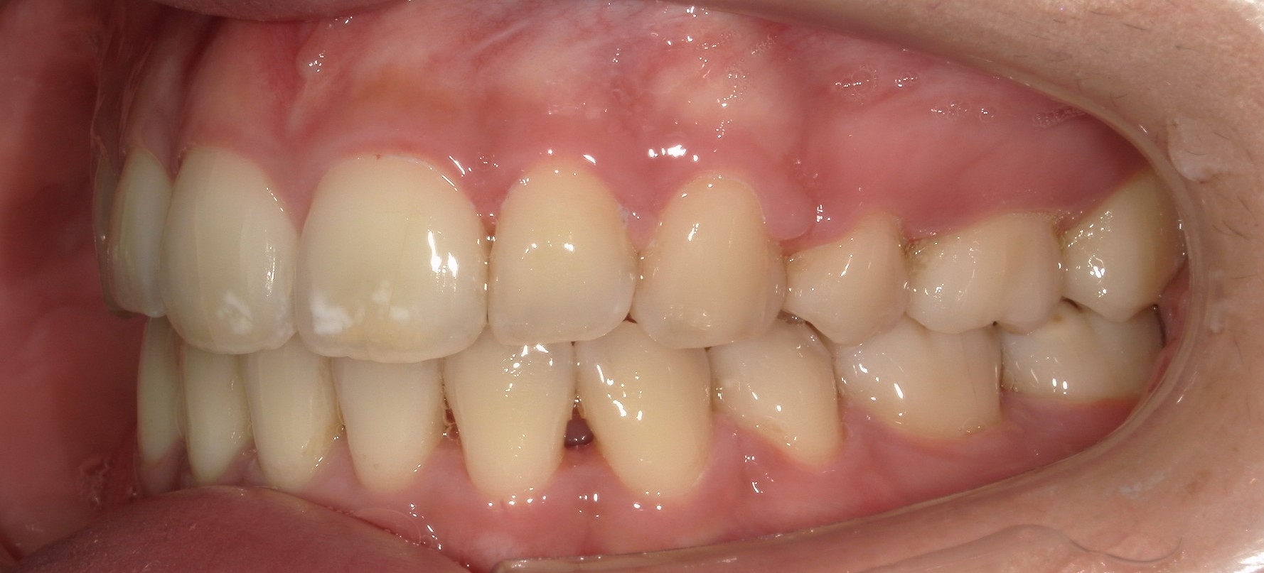
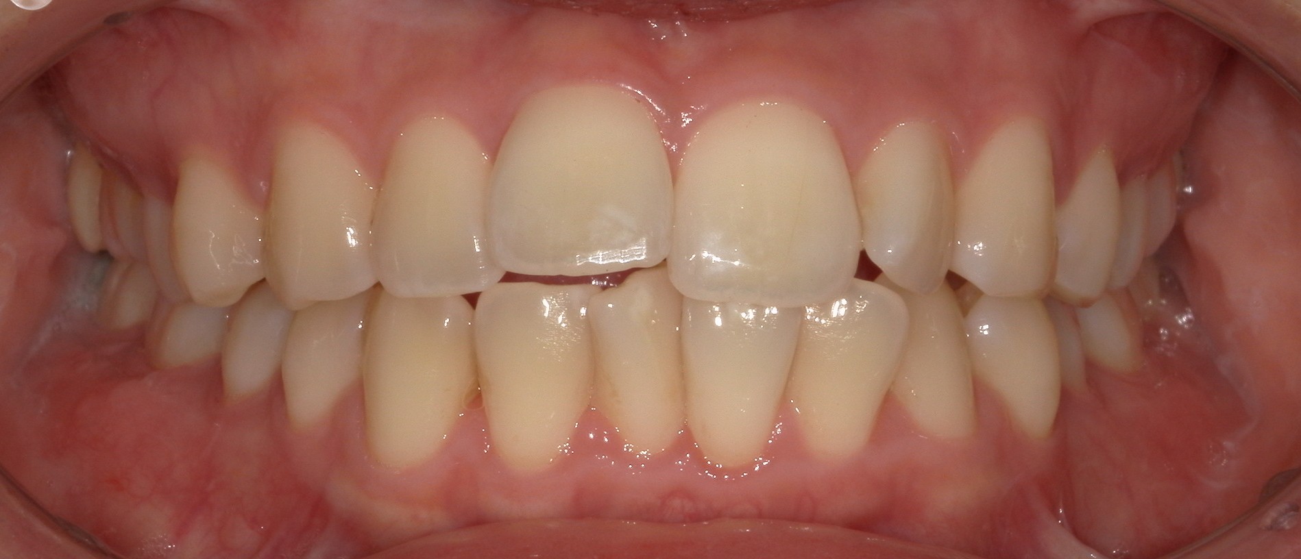
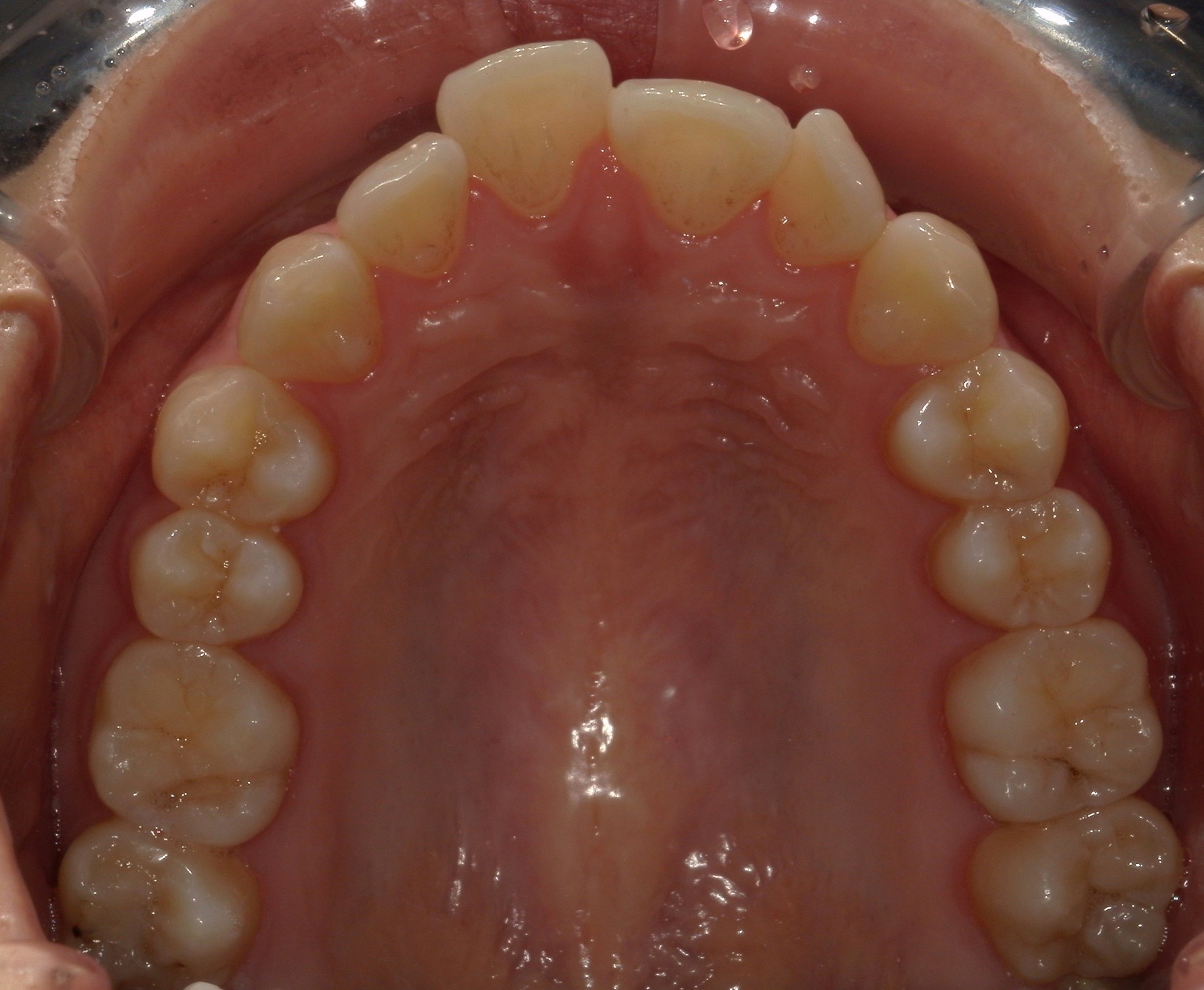
治療後

サムネイルをクリックタップすると
大きく表示されます。

主訴
口元の突出・歯のでこぼこ
年齢・性別
23歳・女性
治療内容
上下左右4番目を抜歯、ワイヤー矯正にて治療
治療期間・回数
2年4か月
費用
880,000円(ワイヤー矯正)
リスク・副作用
矯正治療中に偶発症(むし歯、歯周病、歯肉退縮、歯茎の隙間、顎関節症、歯根吸収、失活歯)が生じることがあります。