Home
Staff
Clinic
Medical
治療案内
Case
Price
First / Flow
Access
Q&A
News
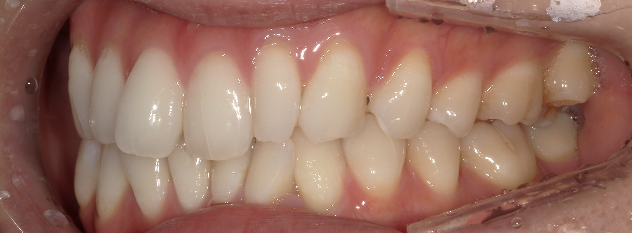
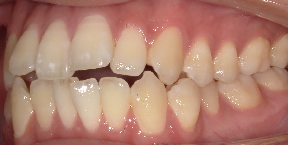
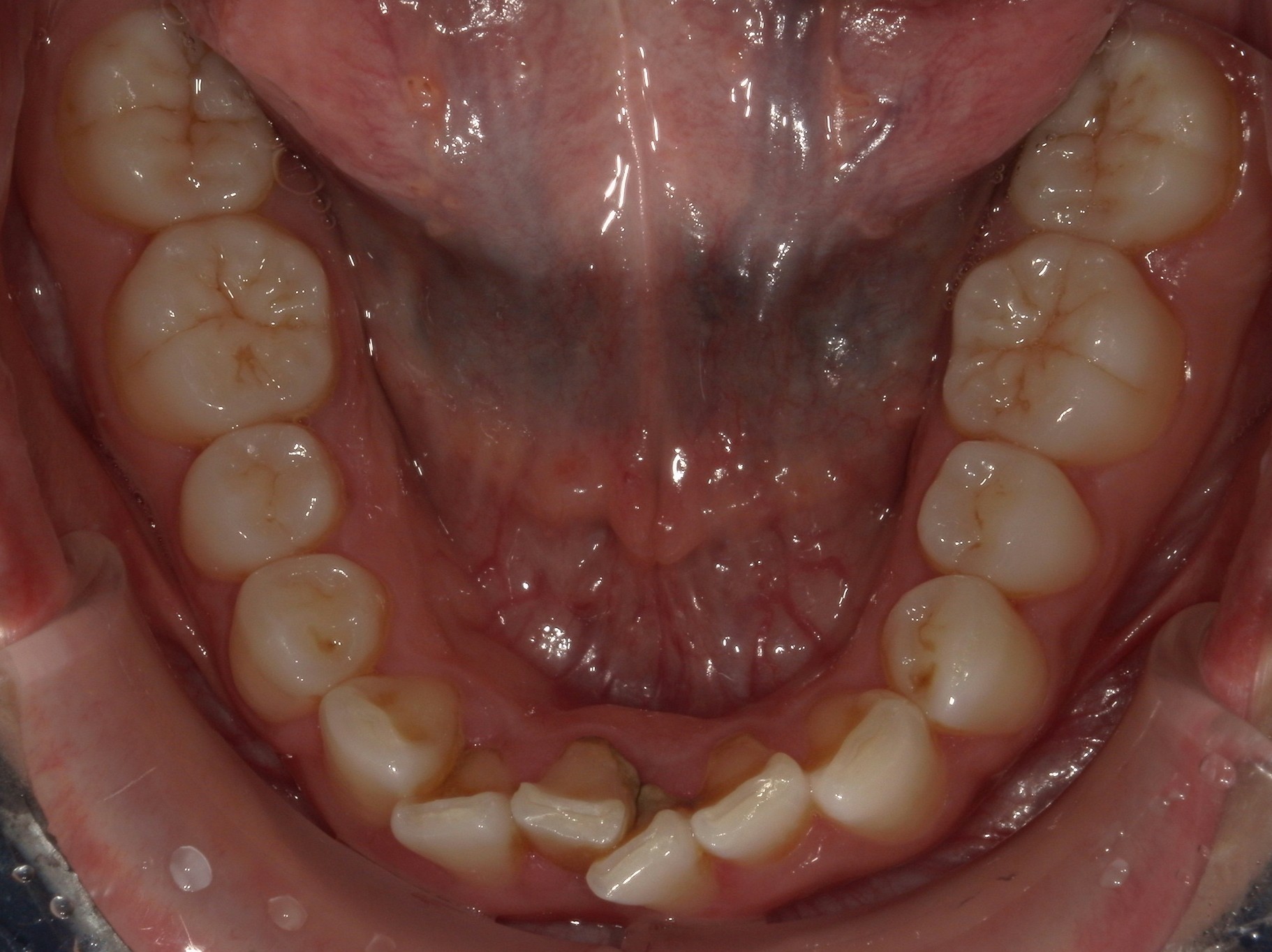
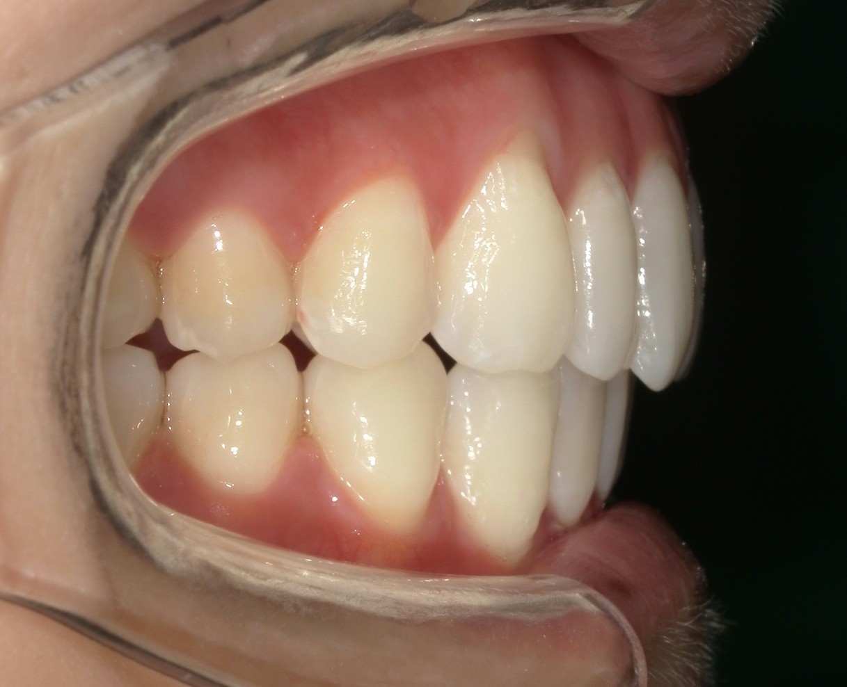
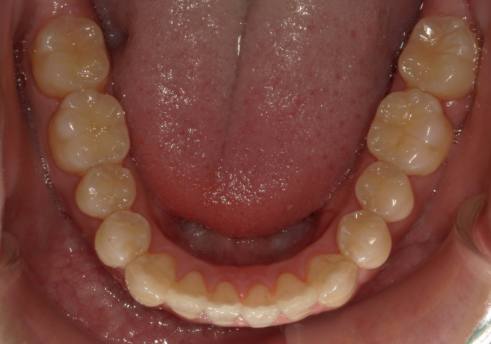
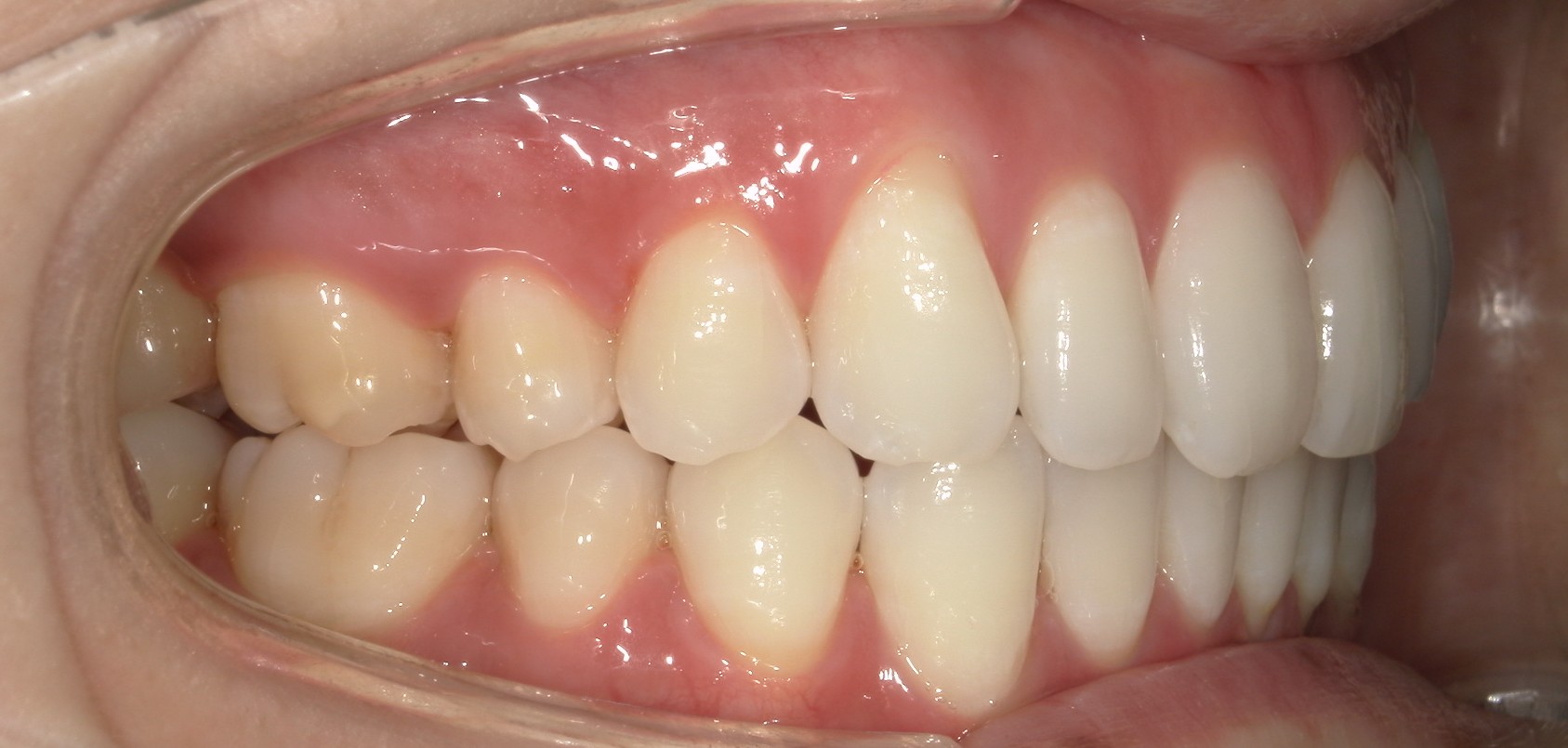
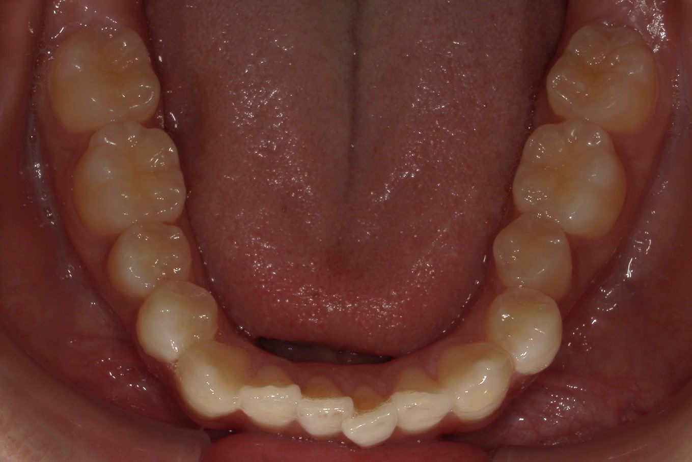
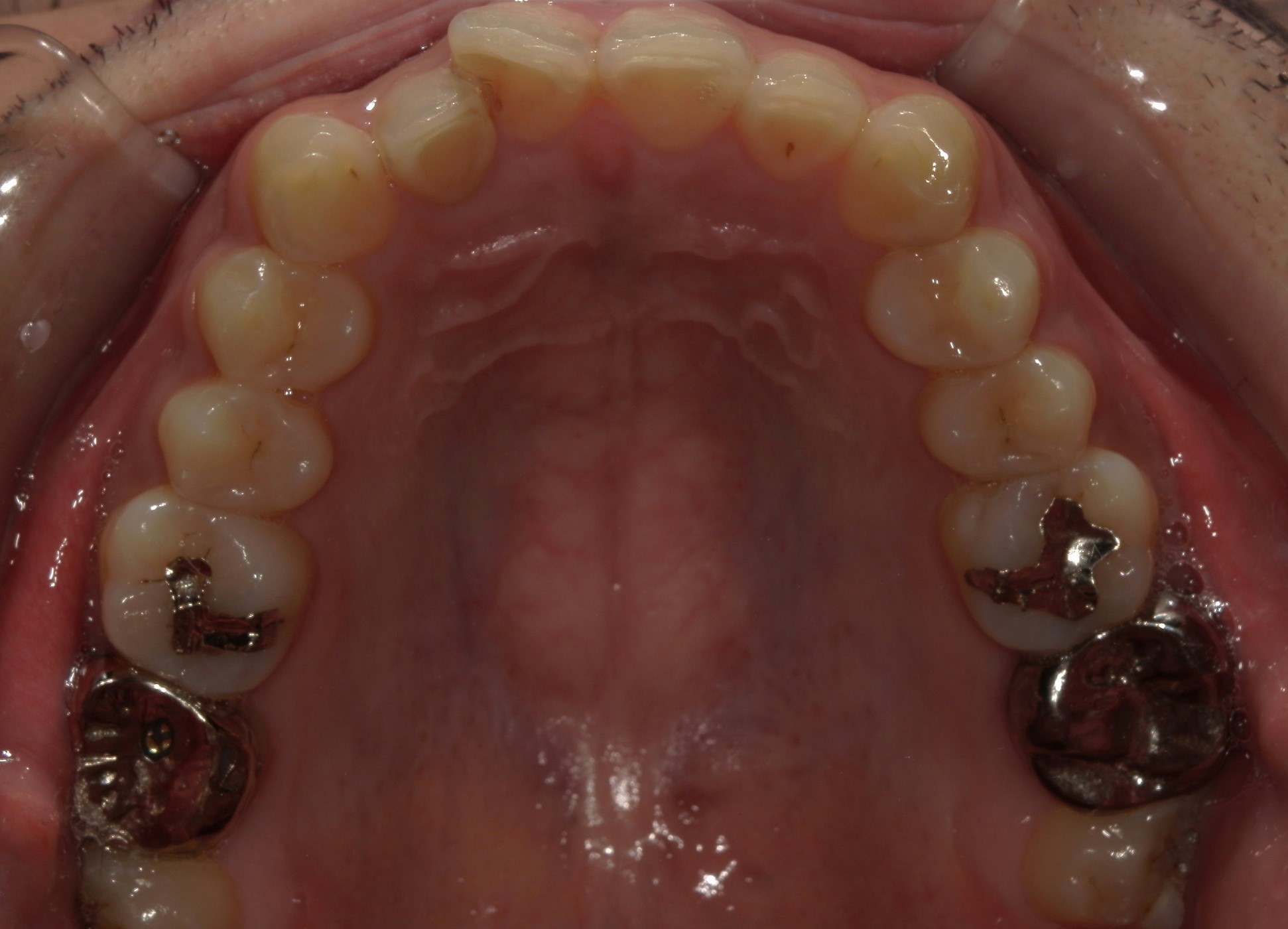
おとなの矯正【インビザライン(マウスピース矯正)】
矯正相談予約
その他の予約
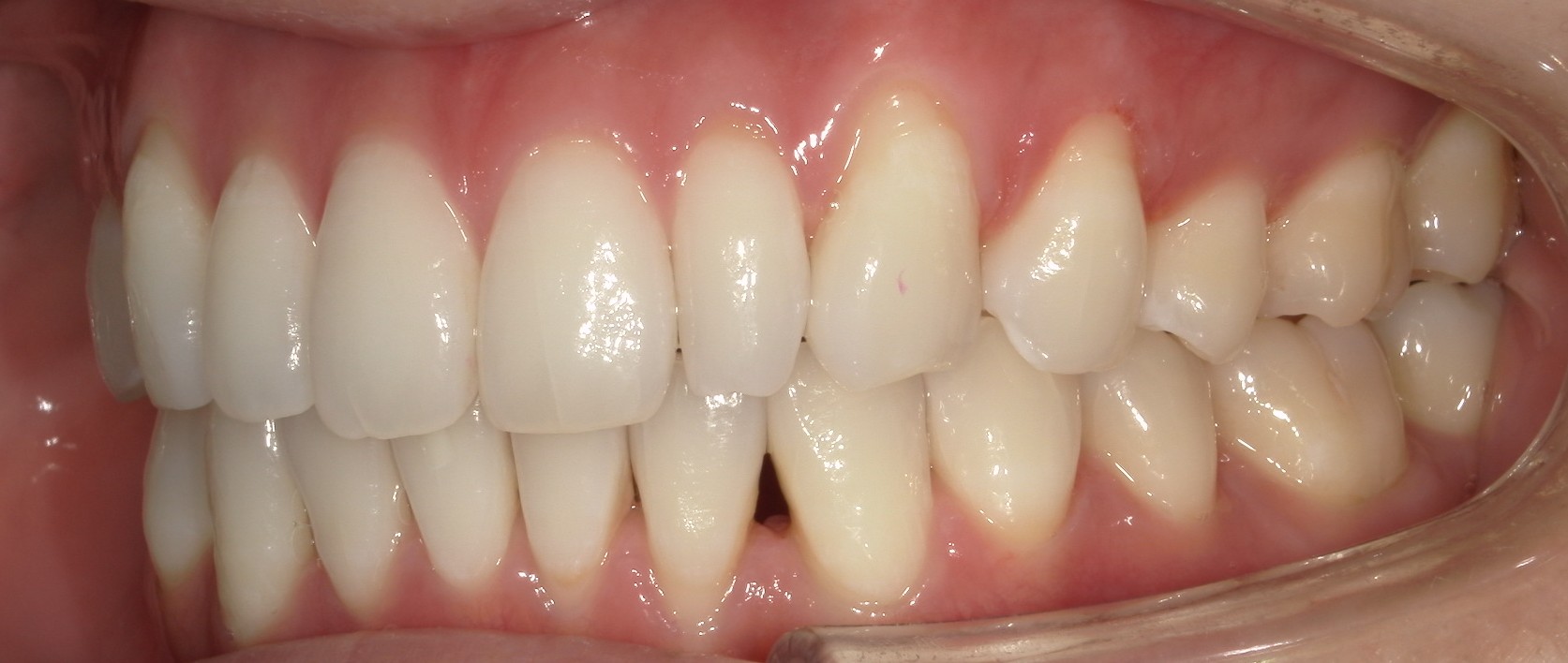
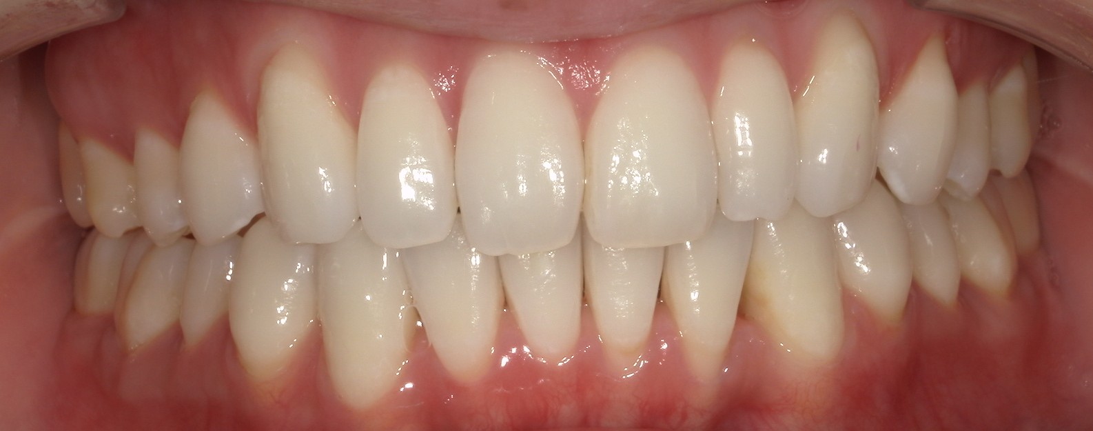
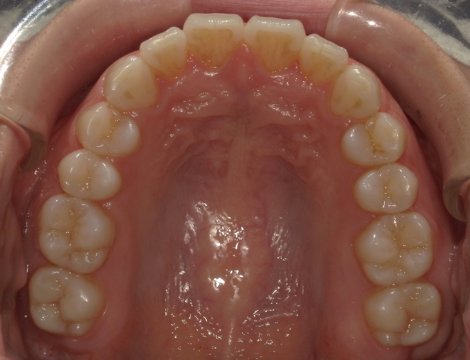
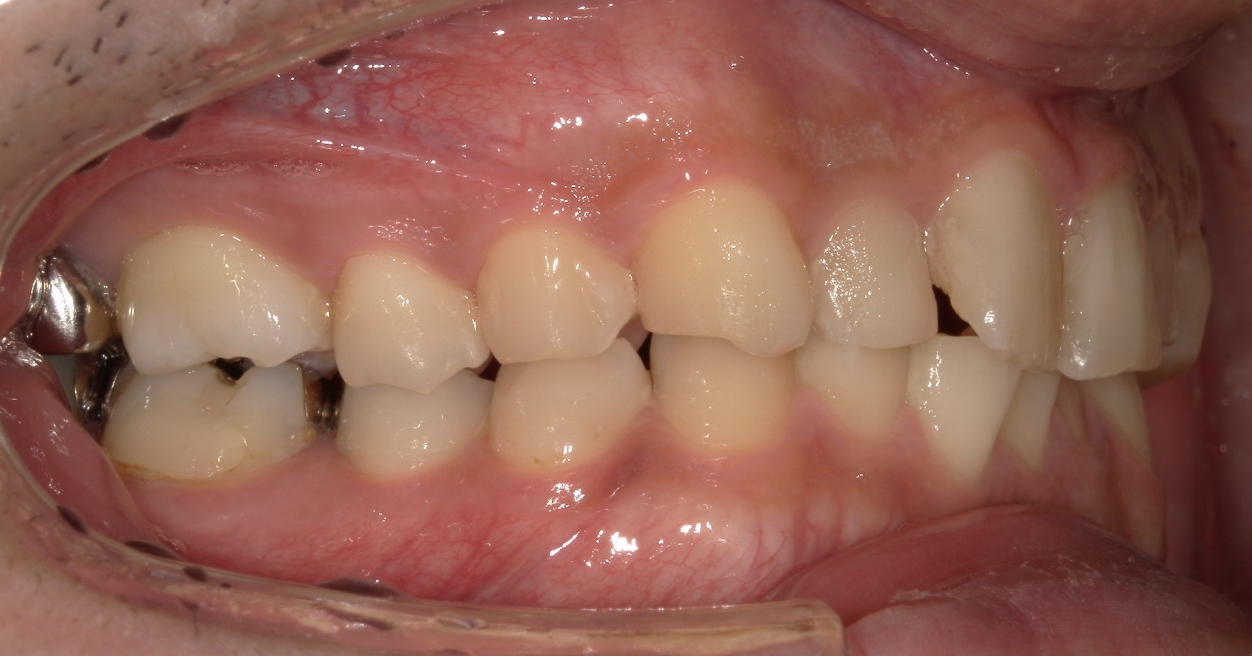
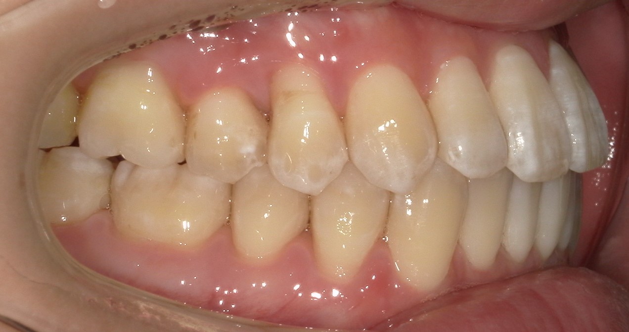
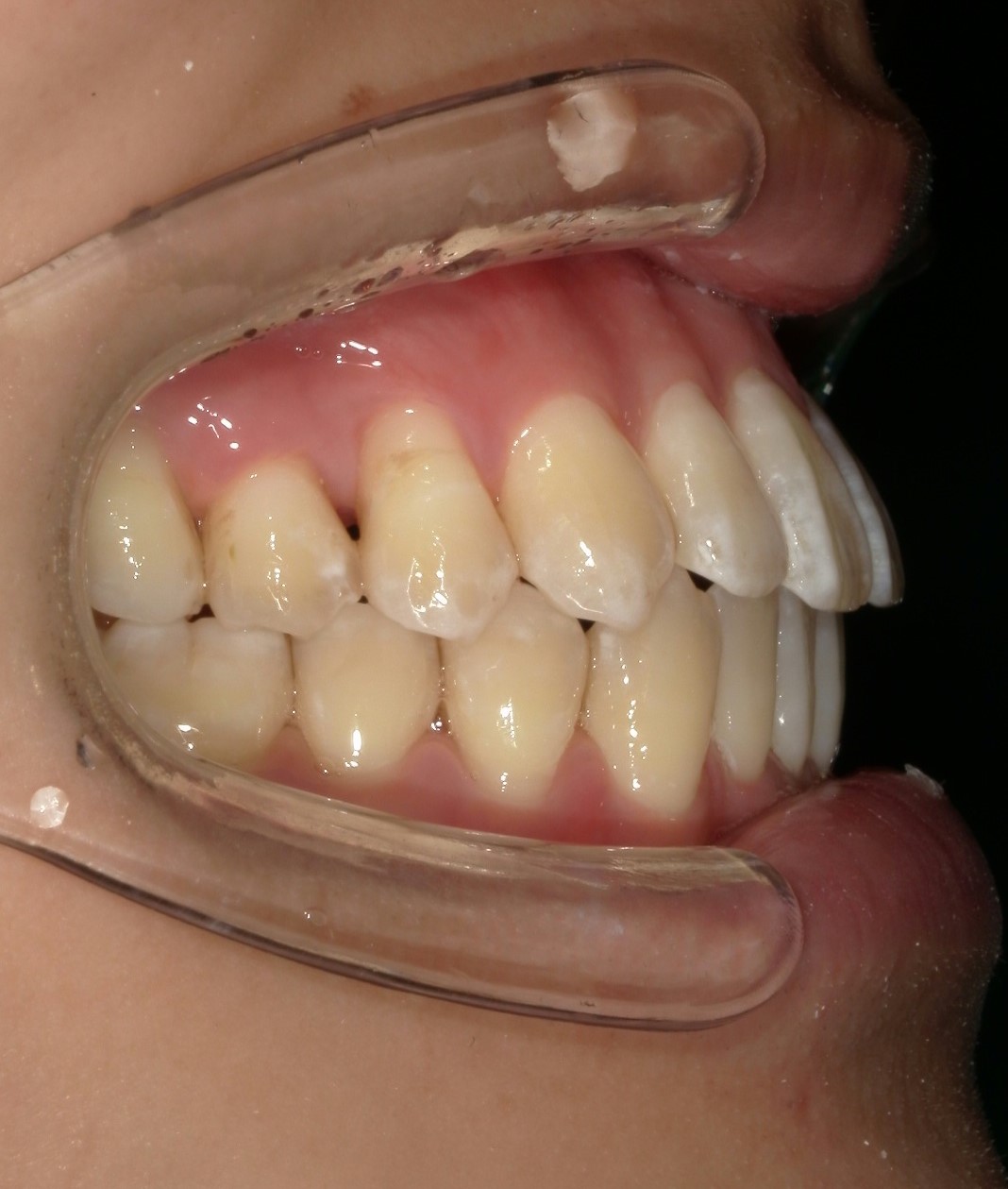
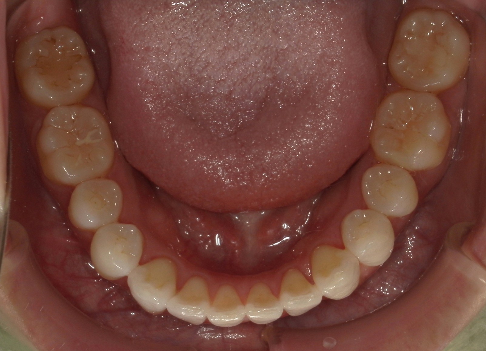
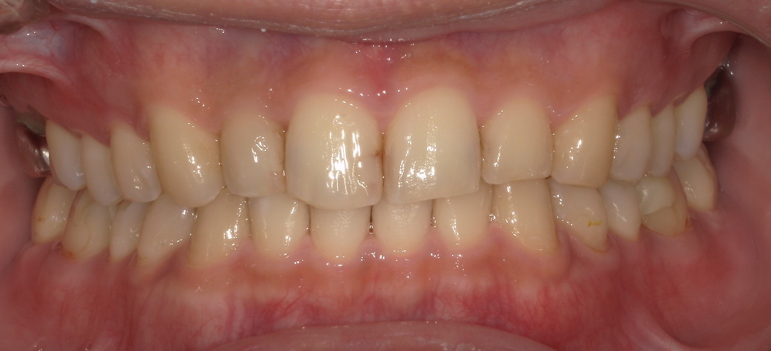
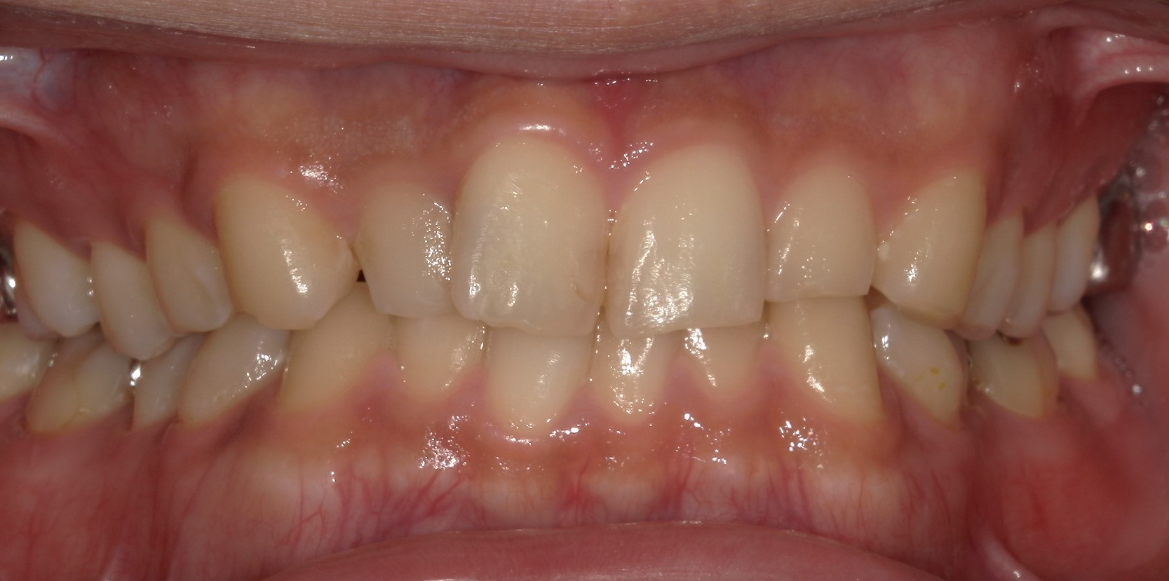
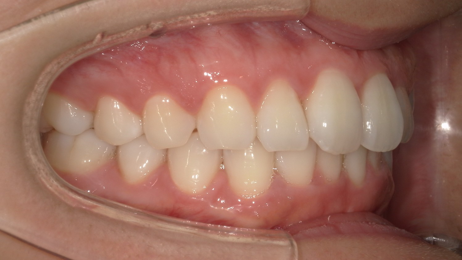
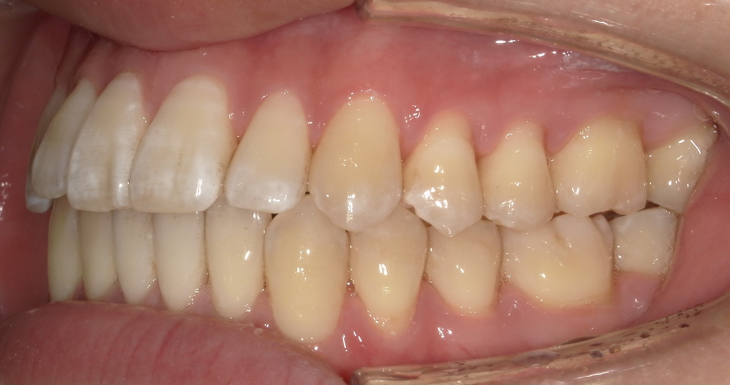
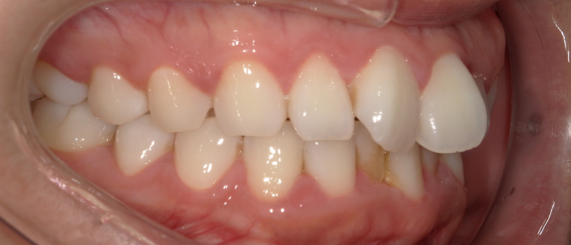
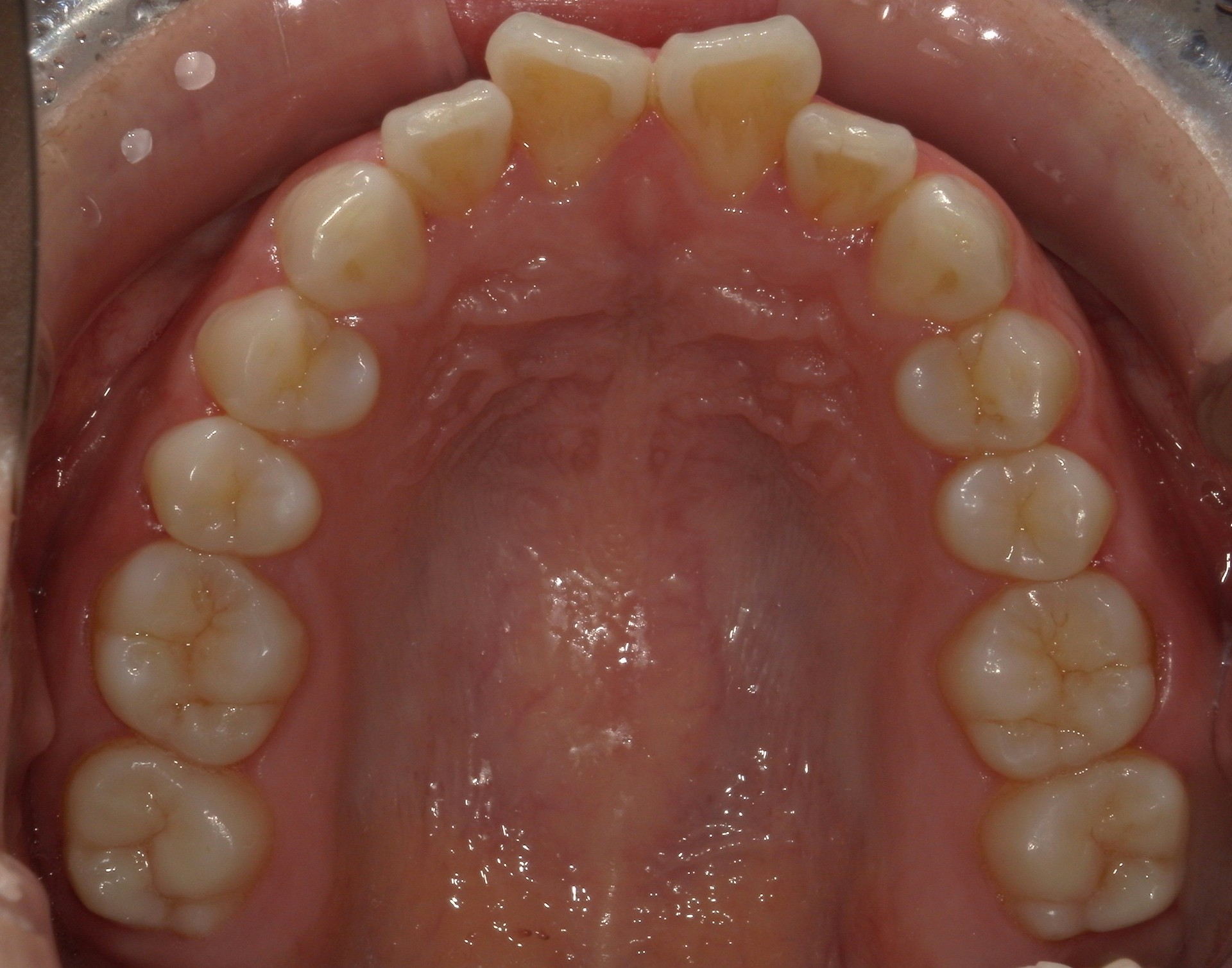
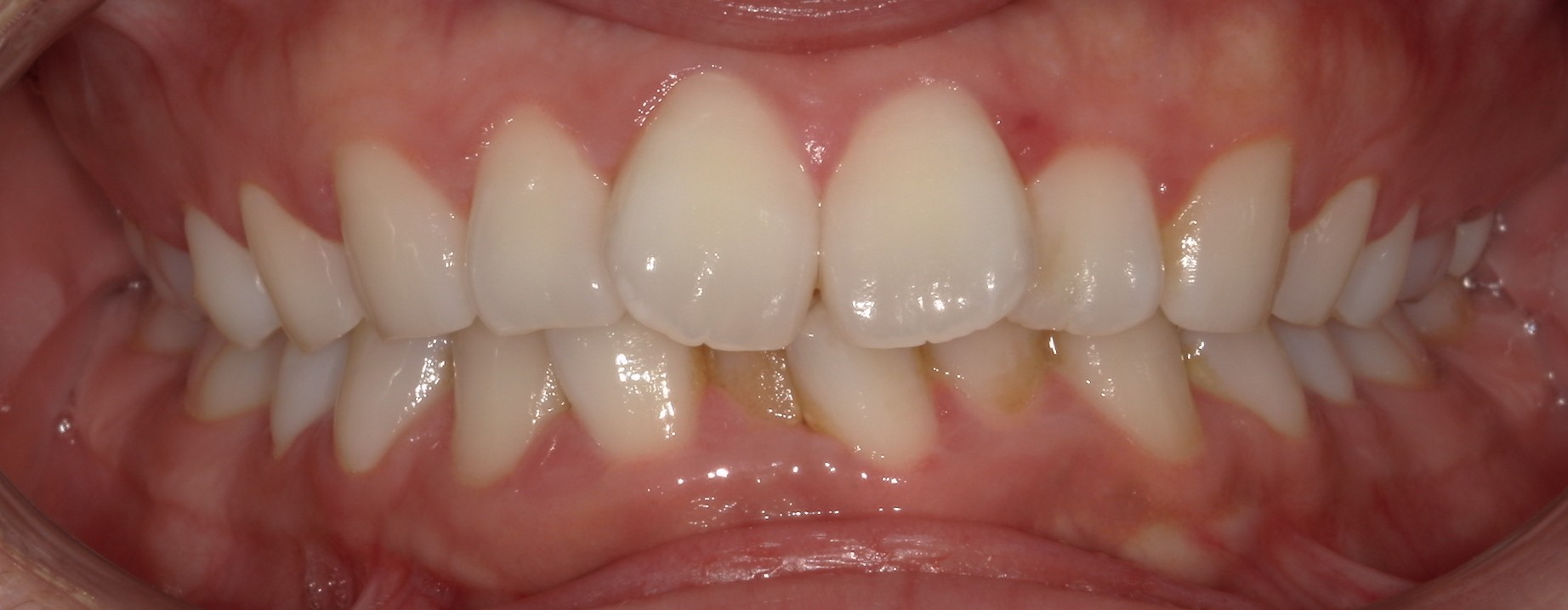
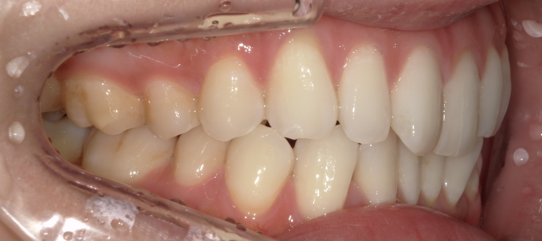
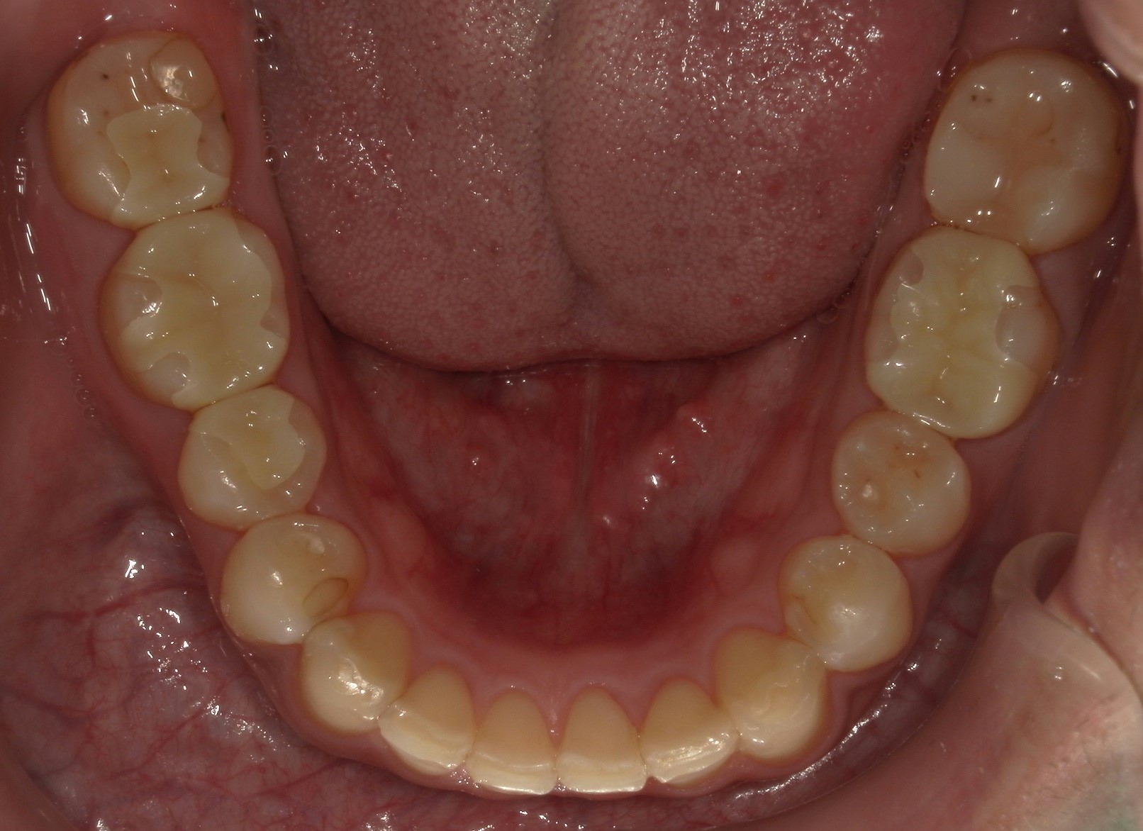
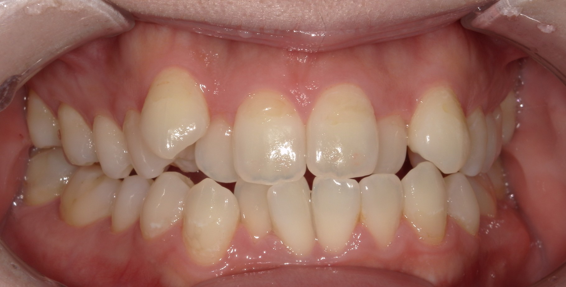
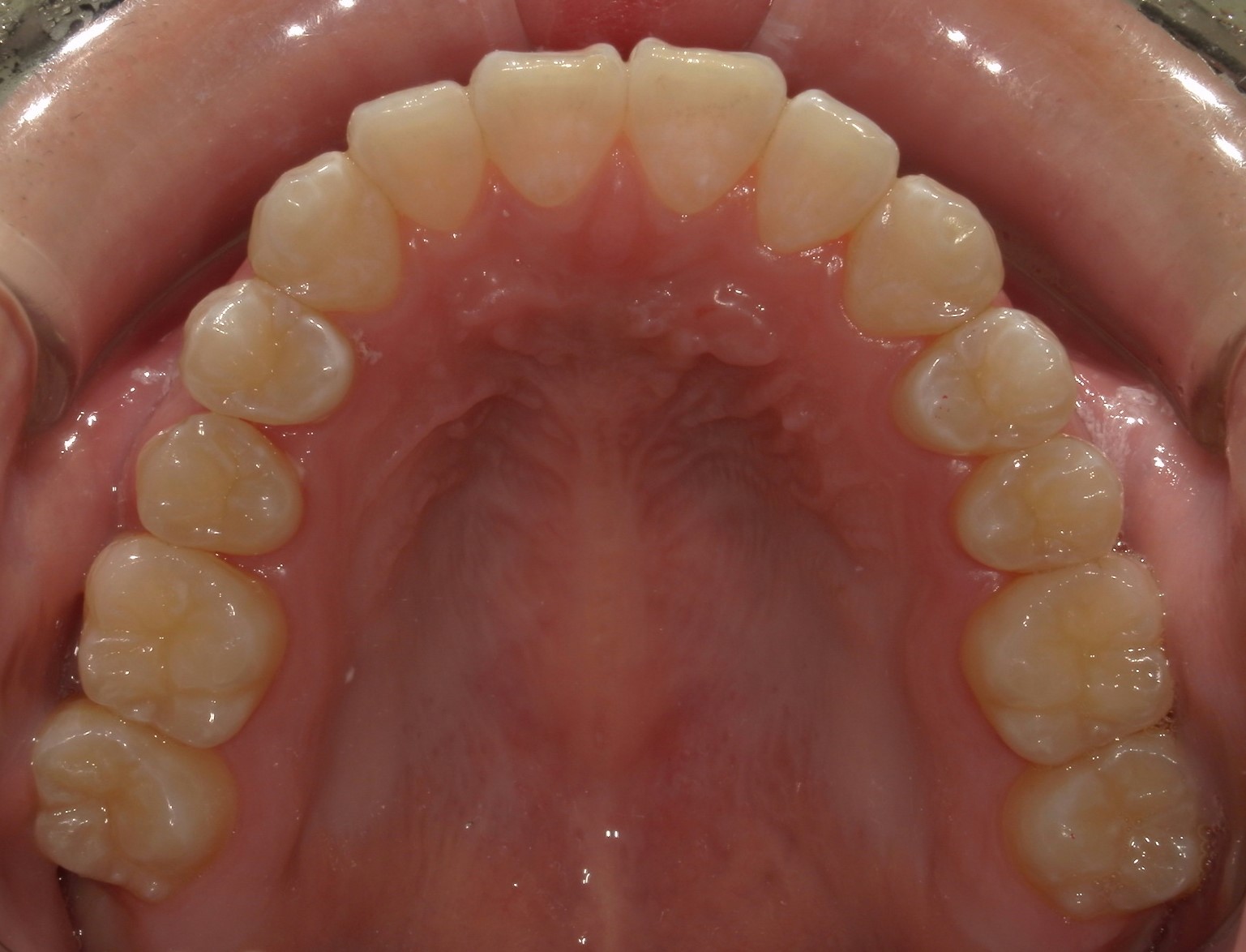
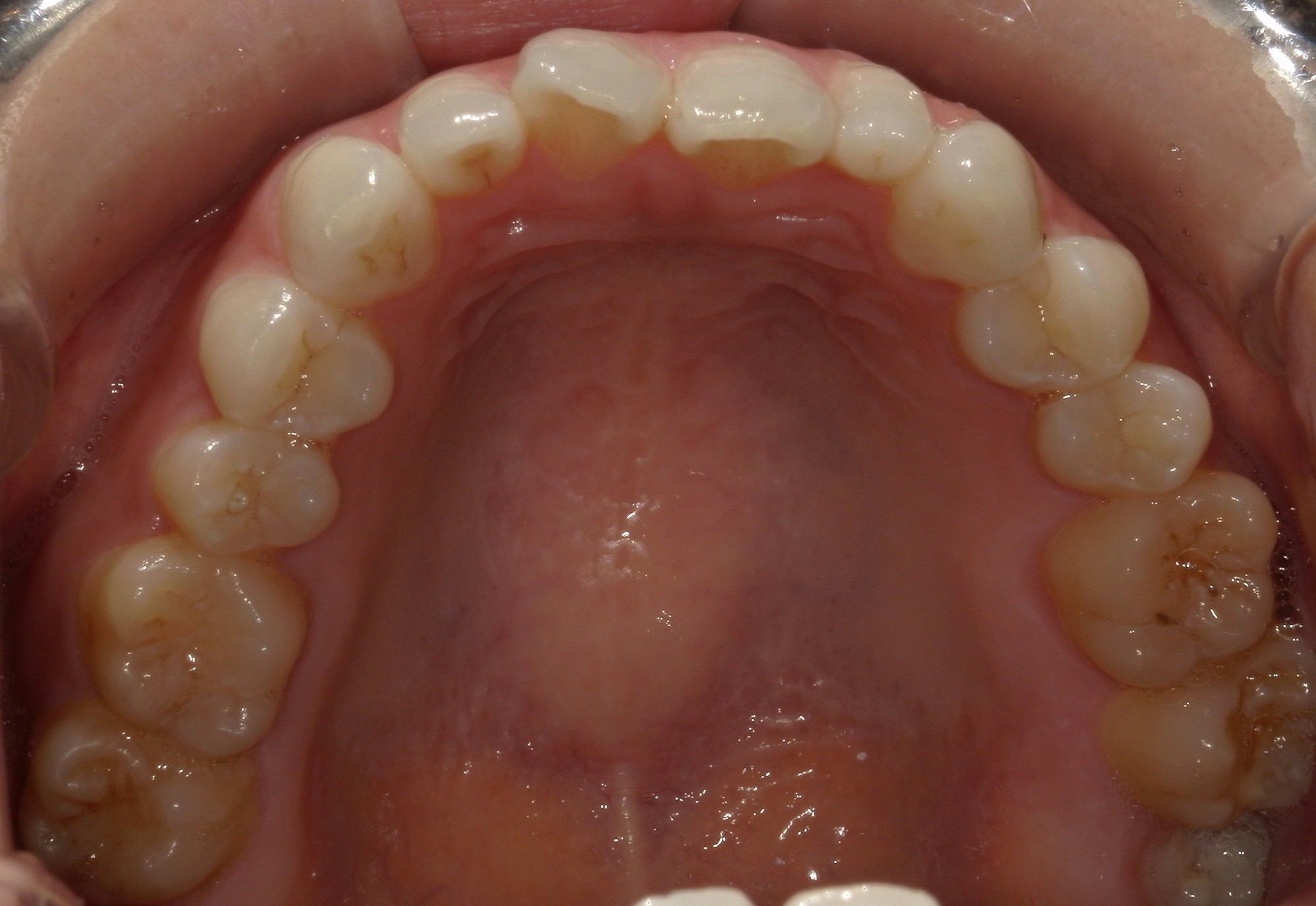
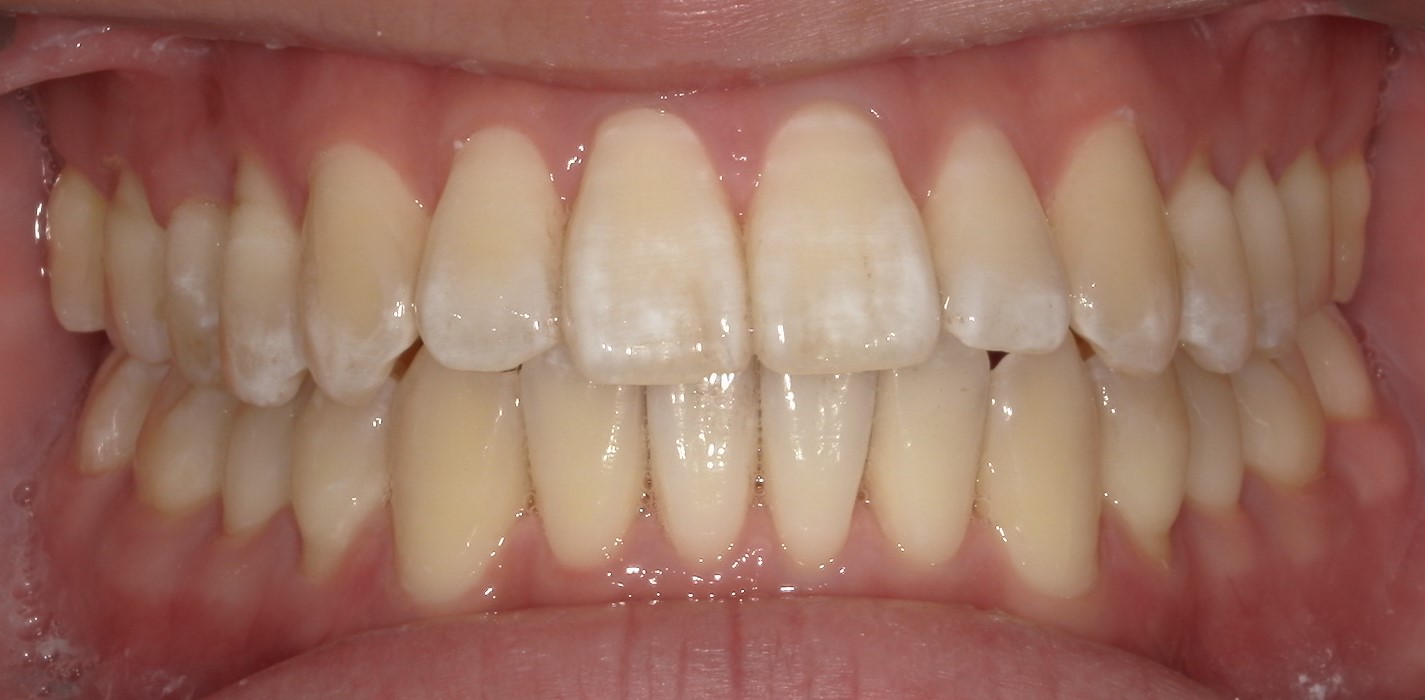
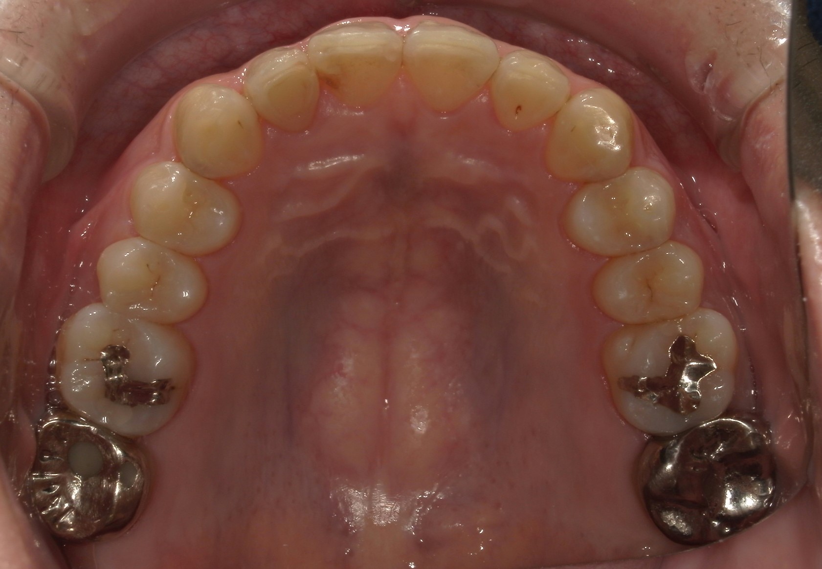
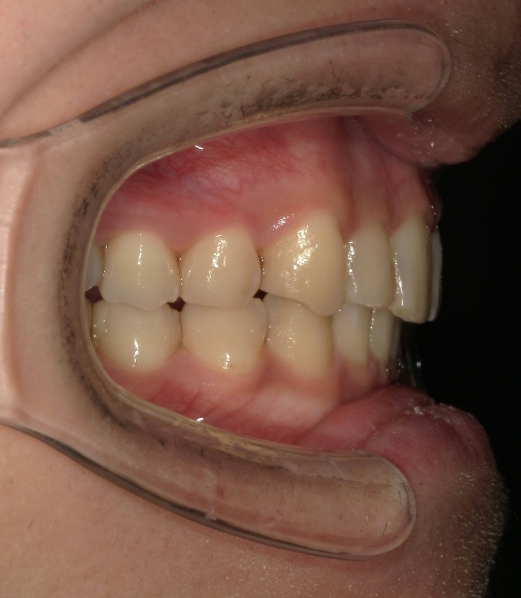
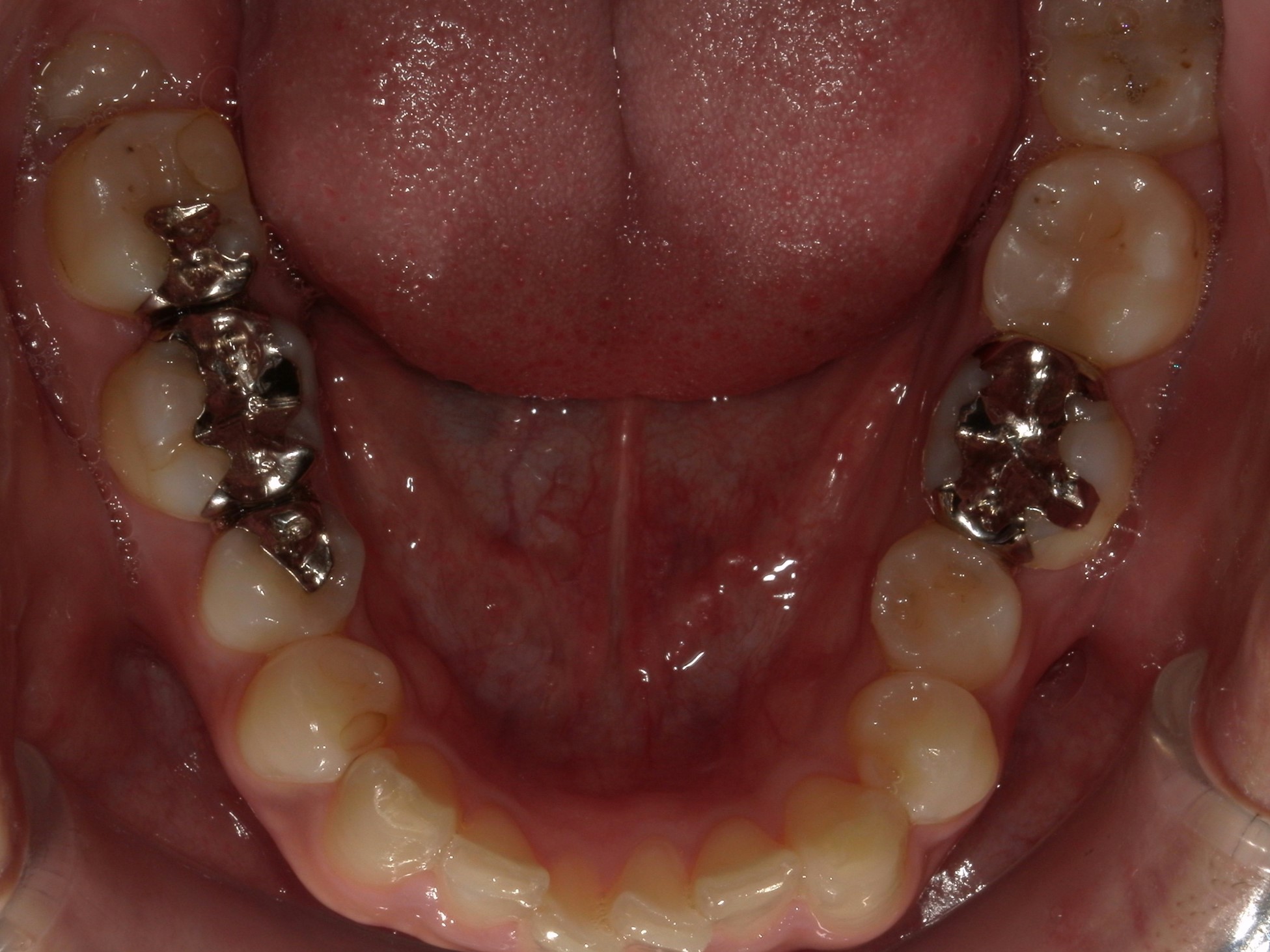
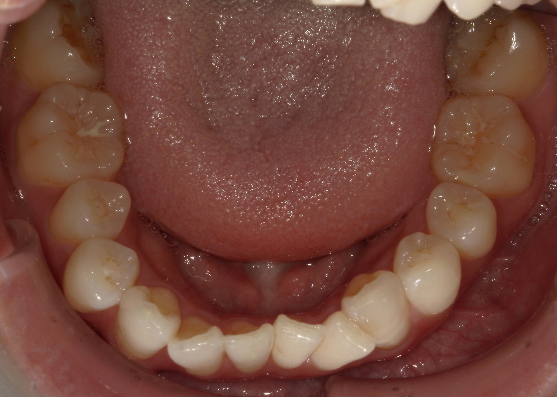
サムネイルをクリックタップすると大きく表示されます。