症例カテゴリー|nana矯正歯科clinic|台東区蔵前・浅草の矯正歯科専門医院

〒111-0043東京都台東区駒形2丁目1−11 DAICHI B.L.D KOMAGATA RIVERSIDE 1階
03-5830-7874
矯正相談予約 矯正以外の予約 初めての方へ
ヘッダー画像

こどもの矯正

症例カテゴリー|nana矯正歯科clinic|台東区蔵前・浅草の矯正歯科専門医院

インビザラインファースト

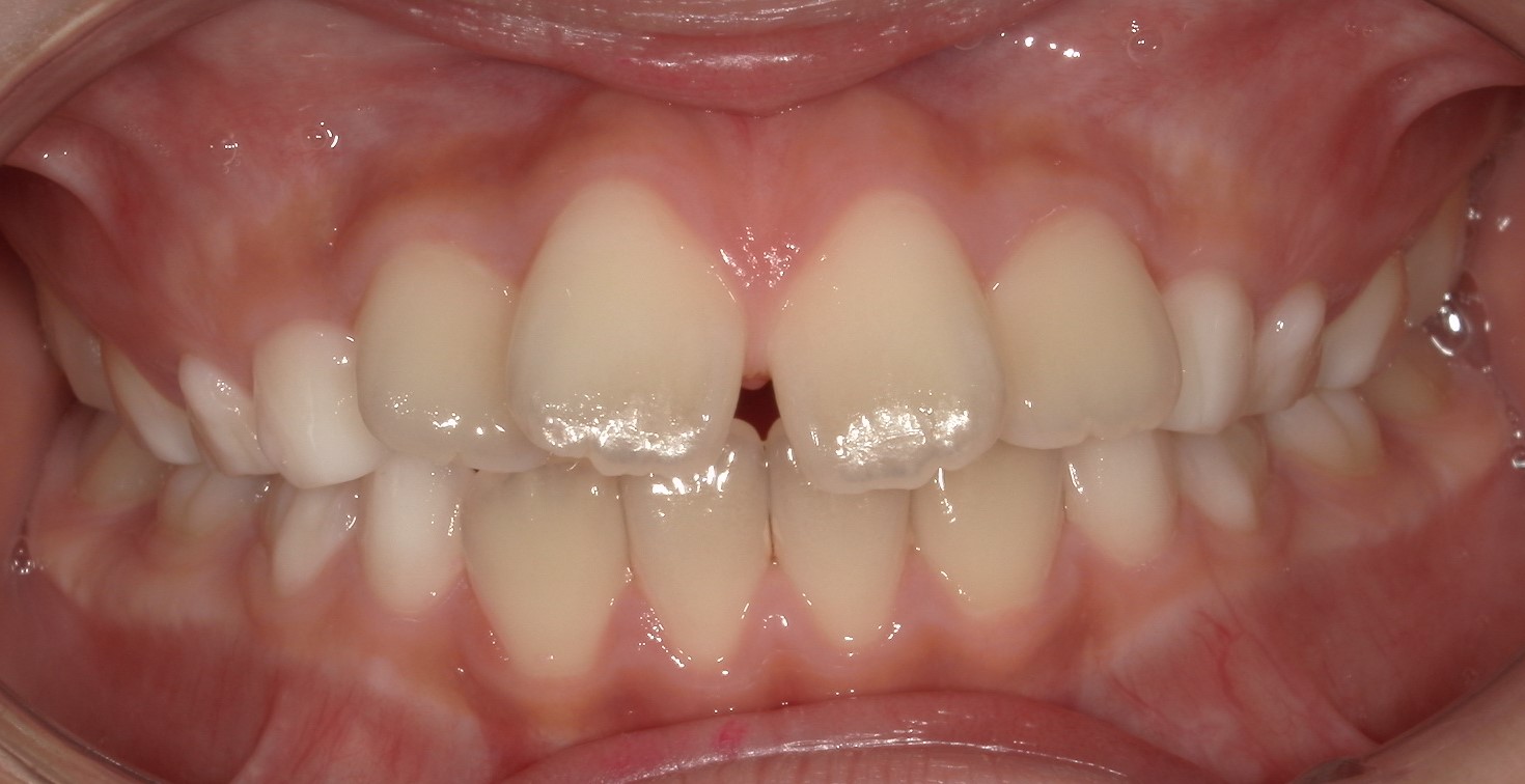
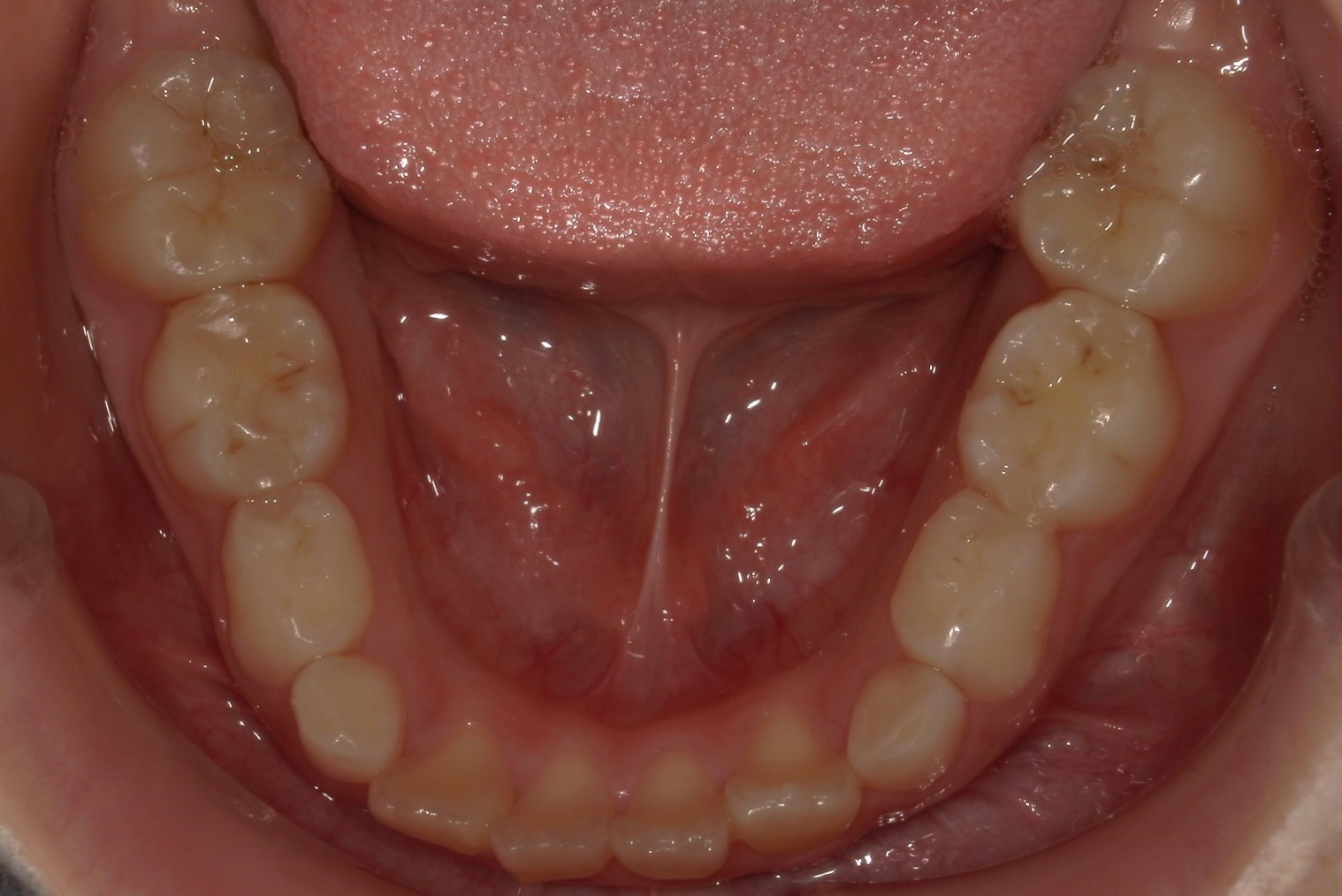
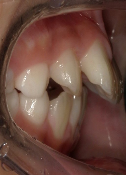
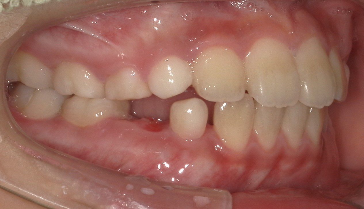
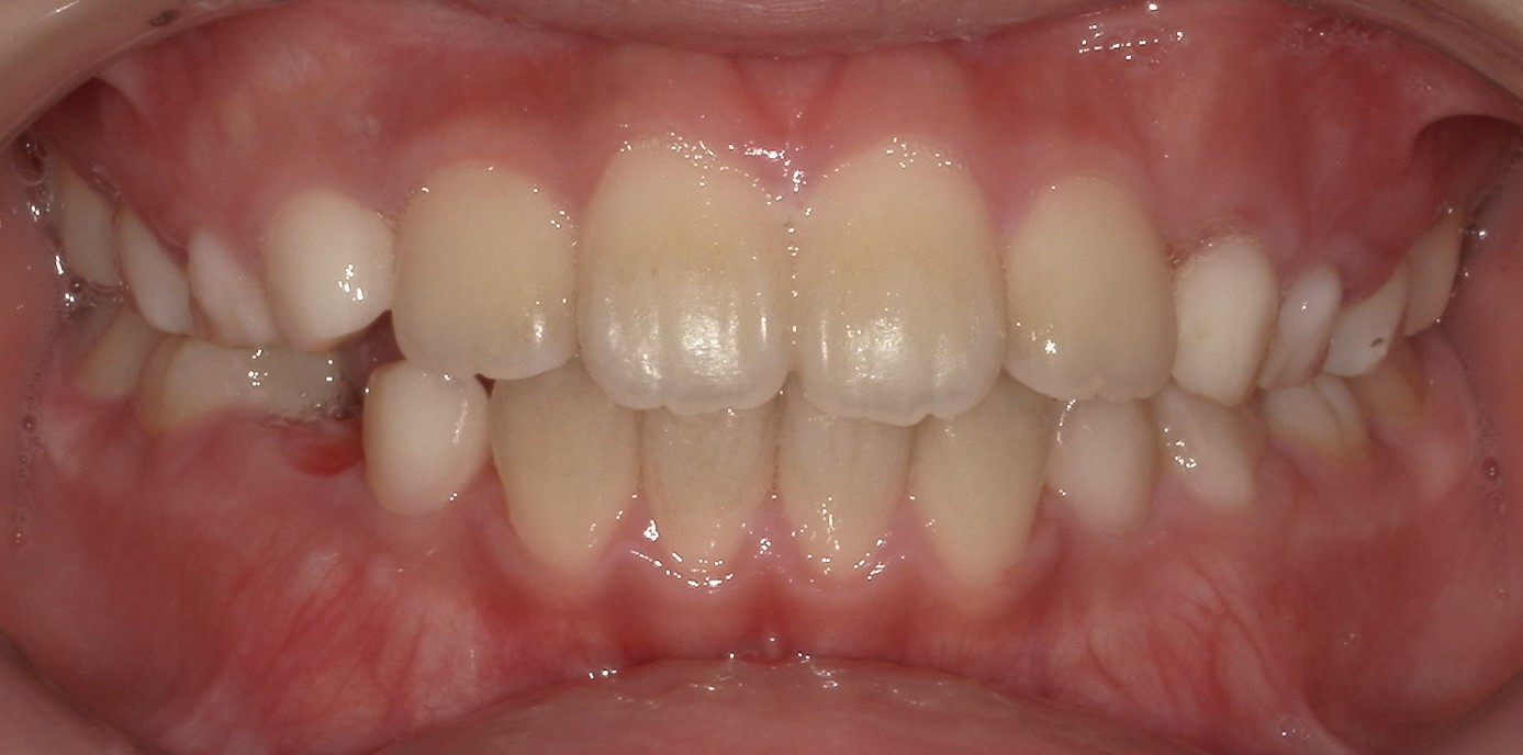
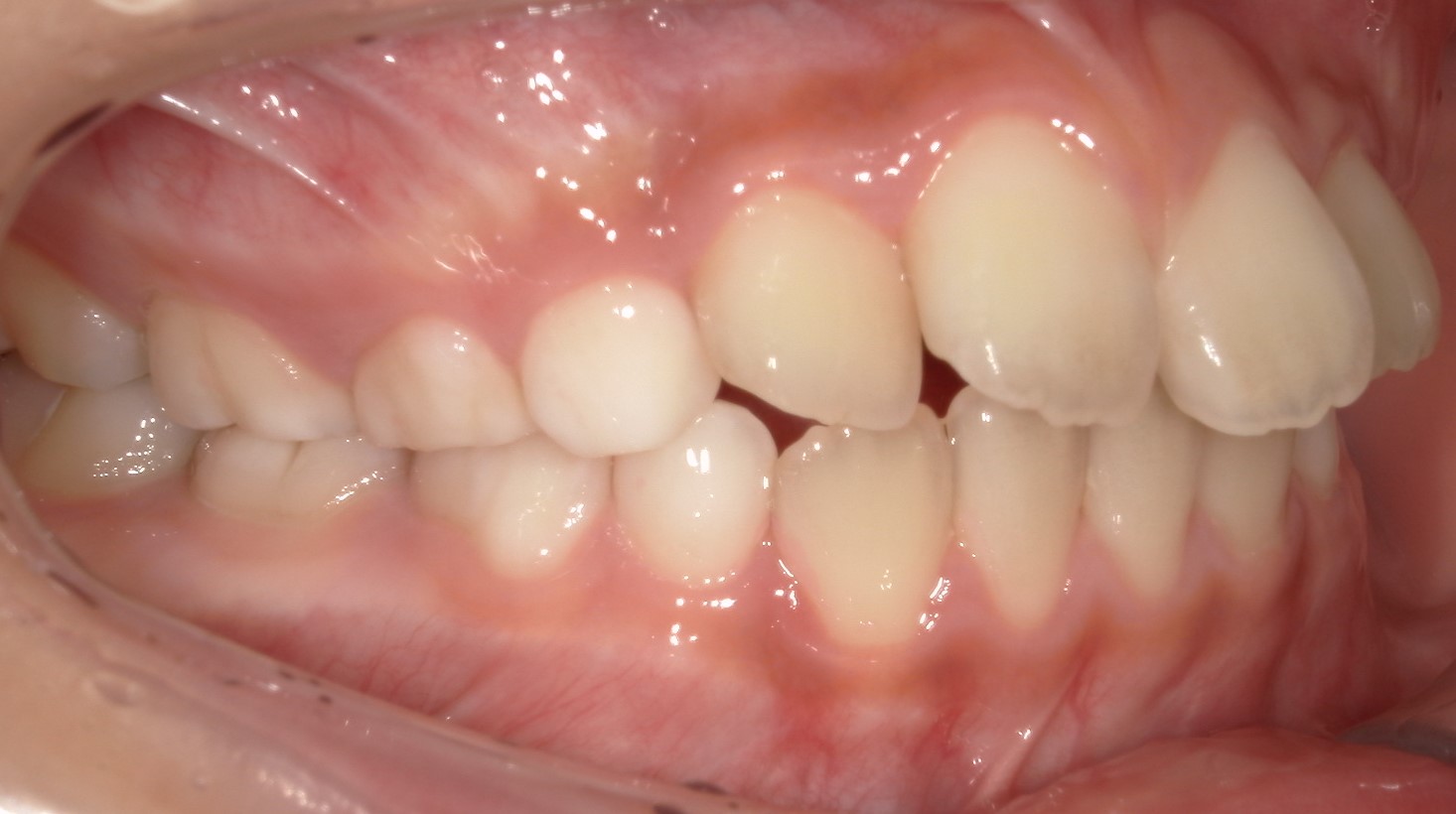
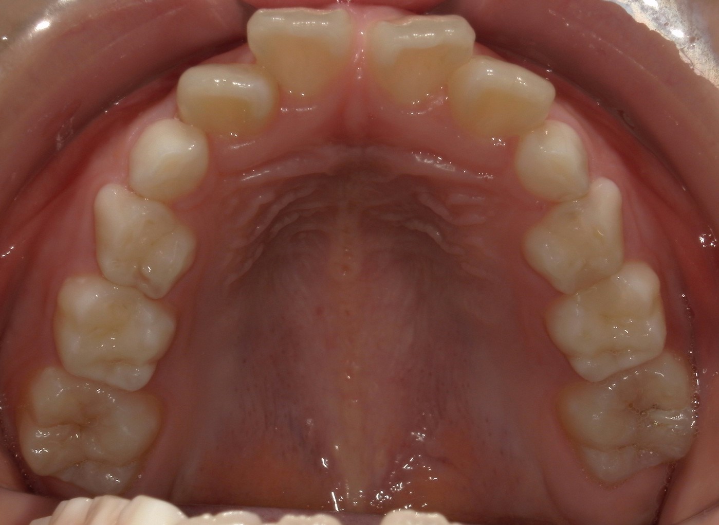
治療前(1期治療)

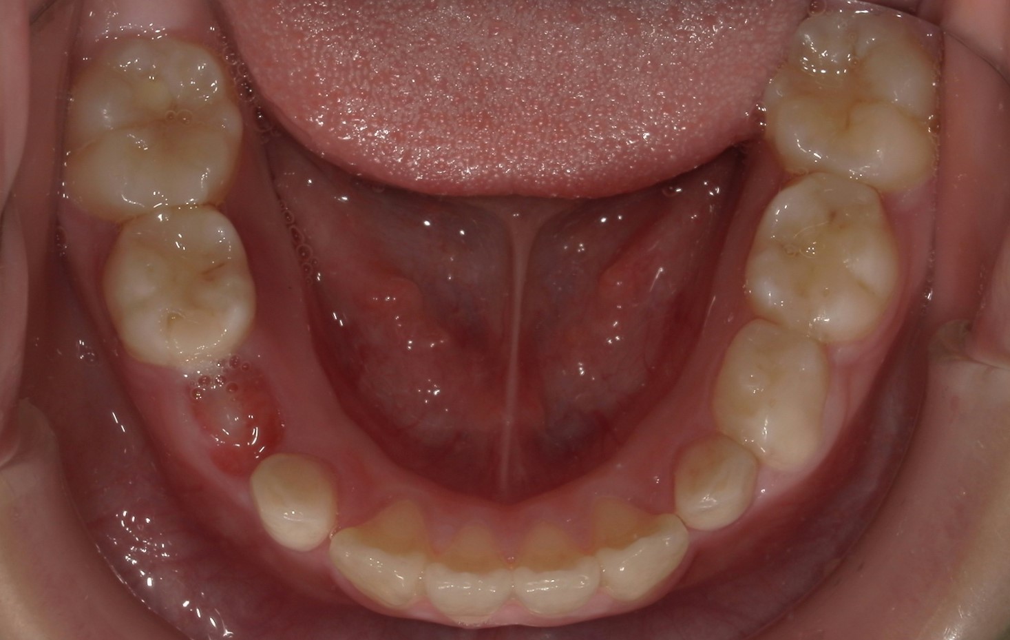
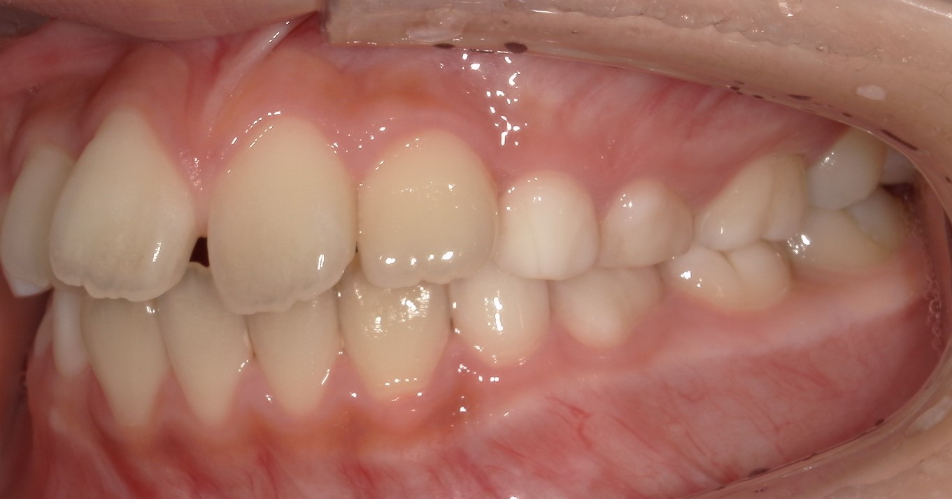
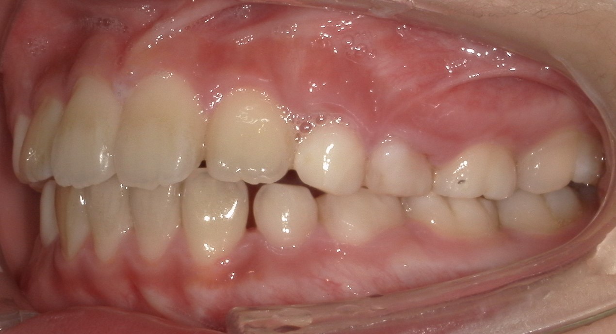
治療後(1期治療)

サムネイルをクリックタップすると
大きく表示されます。

主訴
すきっ歯、出っ歯を改善したい
年齢・性別
8歳・男性
治療内容
インビザラインファースト(マウスピース矯正)にて治療
治療期間・回数
1年3か月
費用
495,000円
リスク・副作用
矯正治療中に偶発症(むし歯、歯周病、歯肉退縮、歯茎の隙間、顎関節症、歯根吸収、失活歯)が生じることがあります。