症例カテゴリー|nana矯正歯科clinic|台東区蔵前・浅草の矯正歯科専門医院
- 〒111-0043東京都台東区駒形2丁目1−11 DAICHI B.L.D KOMAGATA RIVERSIDE 1階
- 03-5830-7874
症例カテゴリー|nana矯正歯科clinic|台東区蔵前・浅草の矯正歯科専門医院
ホームホワイトニング
サムネイルをクリックタップすると
大きく表示されます。
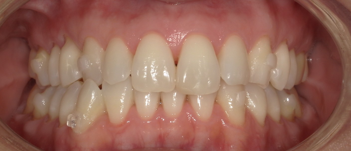
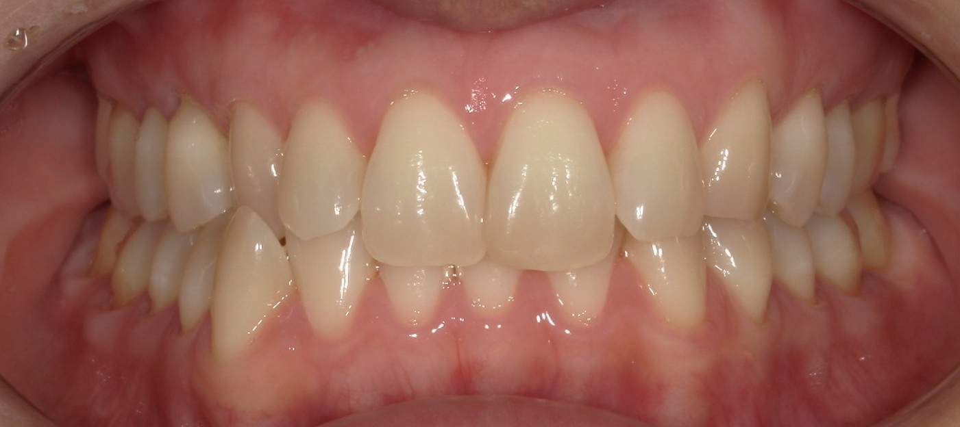
- 年齢・性別
- 40代・女性
- 治療内容
- インビザライン(マウスピース矯正)にて矯正治療中。インビザラインのマウスピースを使用してホームホワイトニングを行いました。
- 治療期間・回数
- 2週間程度
- 費用
- 5500円(矯正治療中の方のみ初回ジェル2本分)
- リスク・副作用
- 個人によりホワイトニング効果は異なります。ホワイトニングにより知覚過敏・歯肉の灼熱感・粘膜の潰瘍等がまれに生じることがあります。